
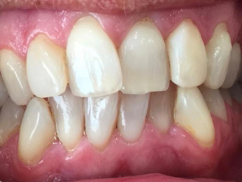
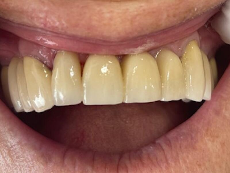
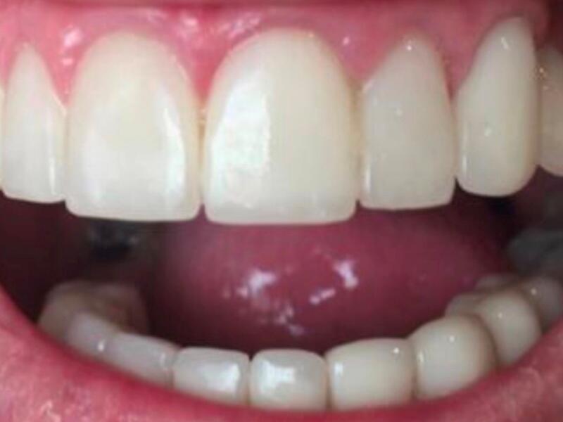
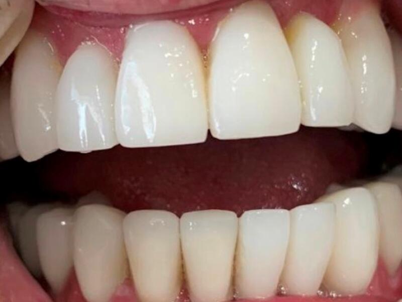
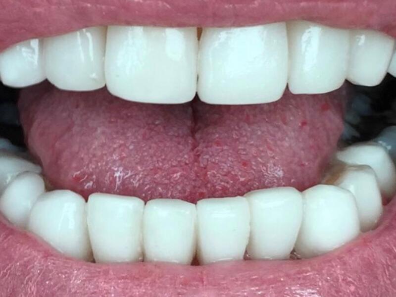
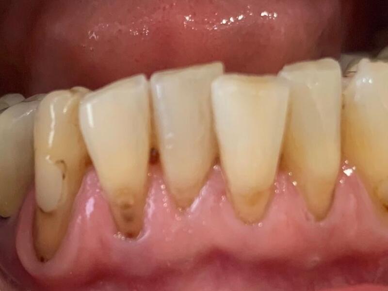
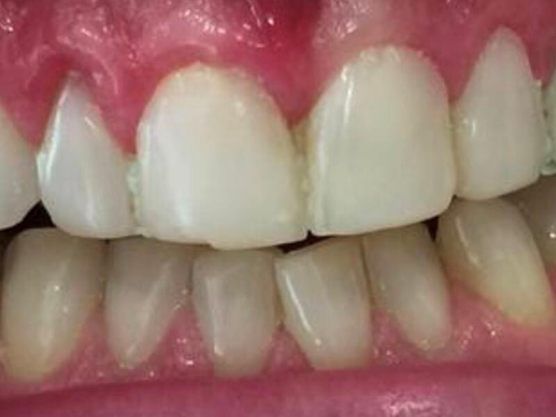
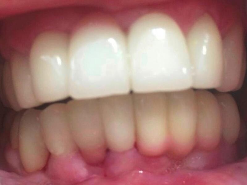
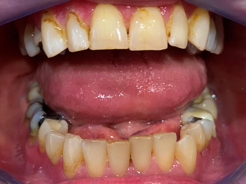
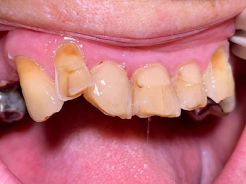
Qu'est-ce qu'une facette dentaire ?
L'utilisation de facettes dentaires permettent de corriger la forme et la couleur des dents au moment où les blanchiments dentaires sont insuffisants. Elles permettent surtout de réparer la forme des dents, cassées, usées ou éventuellement trop courtes. Avec les facettes dentaires, nous pouvons aussi améliorer les chevauchements ainsi que les espaces interdentaires appelés diastème ou autres.
Une facette dentaire est composée d'une fine pellicule de céramique qui se colle directement sur la dent.
À qui s'adressent les facettes dentaires ?
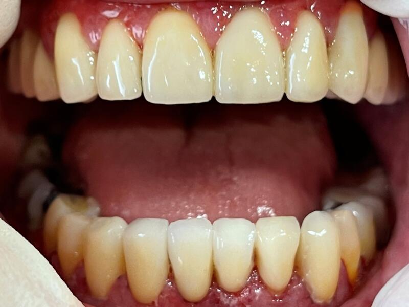
Sans aucun doute, elle s'adresse aux patients qui souhaitent améliorer leur sourire en modifiant très légèrement les dents visibles.
Combien de temps est-il nécessaire ?
La pose d'une facette dentaire est relativement rapide, elle nécessite deux ou trois rendez-vous au cabinet.
- La première consultation consistera à étudier vos besoins, de prendre des photos et d'effectuer des radiographies si necessaire puis le second rendez-vous a prendre des empreintes de vos dents afin d'obtenir des moules pour que le prothesiste puisse realiser les facettes.
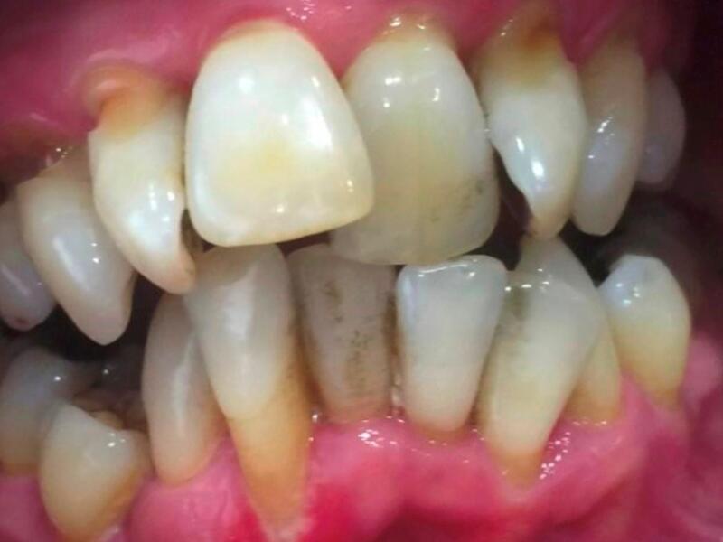
- Des étapes intermédiaire necessaire dépendront bien évidemment de votre cas et de l'état de votre dentition. En effet, il est possible que vous ayez à effectuer un soin dentaire avant la pose dèfinive de vos facettes.
Comment entretenir une facette ?
Les facettes dentaires ne nécessitent aucun entretien particulier mis à part l'hygiène buccodentaire impeccable (utilisation de la brosse à dents, fils dentaires ainsi qu'un détartrage régulier.
Vous êtes intéressés par la pose d'une ou plusieurs facettes dentaires ?
Si vous êtes intéressés par la pose d'une ou plusieurs facettes dentaires, contactez dès maintenant le secrétariat du Docteur Caroline Carbasse en utilisant notre page de contact.
