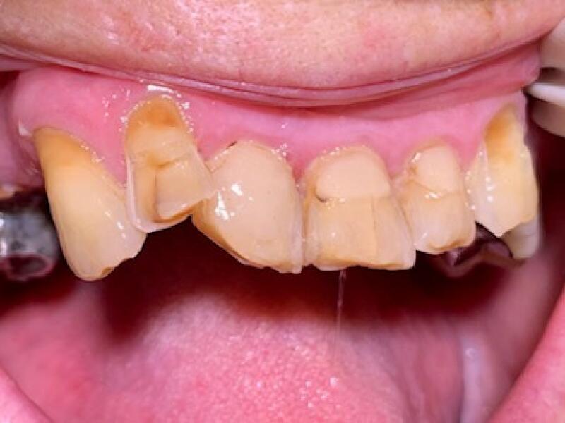
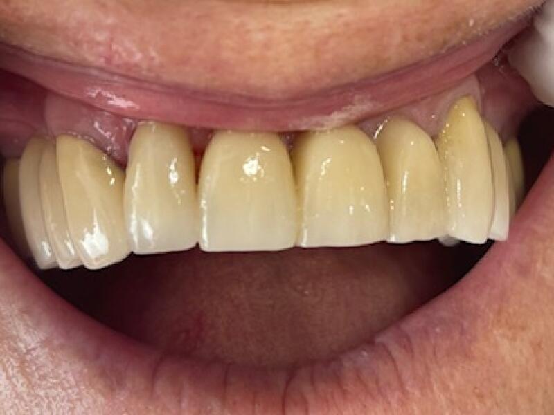
L'absence d'une ou plusieurs dents peut etre est un important handicap. Cela peut poser un gros problème sur le plan fonctionnel, defois phonétique et souvant esthétique. Pour y remédier, il est possible d'utiliser un bridge, une couronne ou un implant dentaire .
Voici quelques explications concernant les bridges dentaires et les couronnes:
Qu’est-ce qu’un bridge dentaire ?
An anglais, Bridge signifie "Pont", en effet, c'est un pont artificiel qui permet de combler les trous dans la dentition en reliant l´espace vide dit "pontique" aux dents adjacentes dit "piliers".
En réalité, le bridge est une prothèse dentaire qui permet de redonner l'apparence et un fonctionnement quasiment identique à une vraie dent...
Quels sont les différents types de bridge dentaire ?
Il existe 4 types de bridge dentaire. Le docteur Carbasse vous conseillera sur le bridge le plus adapté à votre cas.
- Le bridge dentaire conventionnel jusqu´a 3 pieces.
- Le bridge Maryland de type adhésif.
- Le bridge "cantilever".
- Le bridge multipieces plus de 3 pieces en general sur plusieurs implants.
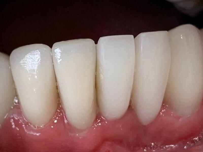
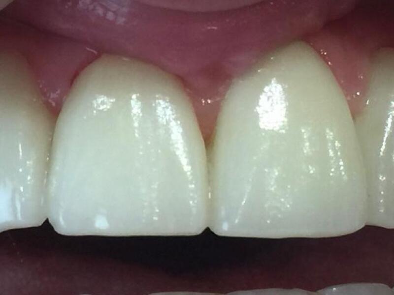
La couronne dentaire
Une couronne est une fausse dent posé sur une vraie dents que le docteur Carbasse place et colle pour restorer sa partie visible. La couronne recouvre la dent preparé, elle la protège et lui donnera un aspect naturel. Elle permet aussi de restaurer la teinte, la forme et la position de la dent.
Dans quel cas se faire poser une courone dentaire ?
Si vous avez une dent dévitalisée ou cassée, mais aussi si vous devez vous faire poser un implant, cette dernière sera collé ou vissée sur l'implant.
La courone permet aussi de donner un bel aspect esthétique si votre sourire ne vous convient pas.
